🔎 View Tweet

Nature Biomedical Engineering@natBME• almost 7 years ago
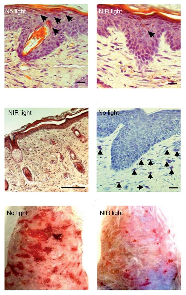
A photosensitizer-tagged derivative of the interleukin-31 ligand that mediates the photoablation of itch-sensing skin neurons expressing the corresponding interleukin receptor reverses scratching behaviour of mice with atopic dermatitis. https://t.co/kCNtRRy6vH https://t.co/CPkjtWv9qA

